Treatments

 

Preventive & Restoration Dentistry

What Is Restorative Dentistry? To put it simply, restorative dentistry involves any dental process which focuses on repairing or restoring damaged oral structures. This can include procedures such as fillings, bridges, and implants among many other services.

What is Preventive dentistry? Preventive dentistry is dental care that helps maintain good oral health. It's a combination of regular dental check-ups along with developing good habits like brushing and flossing. Taking care of your teeth starts early in childhood and extends throughout the course of your life.

 

Teeth Whitening & Teeth Jewellery

Dental jewellery refers to decorative elements, typically gems or decals, that are affixed to the surface of teeth using safe and non-invasive methods. It is a creative and temporary way to enhance one's smile and express personal style.

 

Tooth Replacement (Removable/Fixed)

Both crowns and most bridges are fixed prosthetic devices. Unlike removable devices such as dentures, which you can take out and clean daily, crowns and bridges are cemented onto existing teeth or implants and can only be removed by a dentist.

 

Cosmetic Dentistry

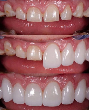
What is cosmetic dentistry? Cosmetic dentistry focuses on improving the appearance and aesthetics of your smile. Common cosmetic dental procedures include teeth whitening, dental bonding and veneers.

 

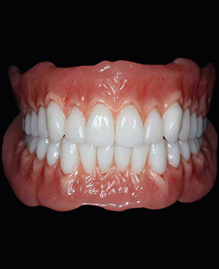
Conventional & BPS Dentures

What is a BPS denture?Commonly referred to as 'BPS dentures', the BPS® (Biofunctional Prosthetic System) is a system of professional expertise and quality products that are the standard for aesthetics, comfort, fit and function.

What are conventional dentures? A conventional denture is made after all teeth have been extracted and the tissues (gums) have healed. An immediate denture is fabricated and inserted immediately after the teeth are extracted and the tissues are allowed to heal under the denture.

 

Root Canal Treatment

Root canal is a treatment to repair and save a badly damaged or infected tooth instead of removing it. The term "root canal" comes from cleaning of the canals inside a tooth's root. Decades ago, root canal treatments often were painful.

 

Conscious Sedation & Sleep Dentistry

Conscious sedation is a technique whereby patients undergo a drug-induced depression of their consciousness but retain the ability to self-ventilate, maintain protective reflexes, and respond to verbal or light-pressure stimuli. It is a valuable tool often used in dentistry due to its anxiolytic effects.

 

Kids Dental Care

Begin your child's dental care journey early – even before their first tooth emerges! Use a soft, damp cloth to clean their gums gently. Once teeth start coming in, use a child-sized toothbrush with soft bristles and a small amount of fluoride toothpaste (about the size of a grain of rice) twice a day.

 

Wisdom Tooth Removal

Wisdom teeth — the third molars in the back of the mouth — may not need to be taken out if they are:

  • Healthy.
  • Grown in fully.
  • In the right place and biting properly.
  • Able to be cleaned daily.
But wisdom teeth often don't have room to grow in properly, and they can cause problems. Wisdom teeth can grow in at various angles in the jaw, sometimes even horizontally.

Problems can include wisdom teeth that:
  • Stay fully hidden within the gums. If they can't grow in the usual way, wisdom teeth become trapped within the jaw. These are called impacted wisdom teeth. Sometimes this can lead to an infection or cause a cyst that can damage other teeth roots or bone support.
  • Grow only partway through the gums. Because the back of the mouth is hard to see and clean, wisdom teeth that partly grow in can create a pathway for bacteria to get into the gums. This can cause gum disease and infection. Wisdom teeth that grow partway through the gums also can get cavities, which can't be fixed with fillings and therefore must be removed.
  • Crowd nearby teeth. If wisdom teeth don't have enough room to grow in properly, they may crowd or damage nearby teeth.
  •  

    Geriatric Dental Care

    Geriatric dentistry or Gerodontics is the delivery of dental care to older adults involving the diagnosis, prevention, and treatment of problems associated with normal ageing and age-related diseases as part of an inter-disciplinary team with other health care professionals.

     

    Gum Surgery & Gum Care

    What is dental gum surgery? With this common procedure, surgeons make small cuts in your gum and lift a section of tissue back. Then, they remove tartar and bacteria from your tooth and from under your gums. The gums are sutured back, so the tissue fits firmly around your teeth.

     

    Teeth Alignment & Braces

    Ideal teeth alignment should involve the following: Upper teeth slightly overlapping the lower teeth. Points of the molars fitting into the grooves of the opposite molars. Symmetry between the upper and lower jaw lines. Top and bottom incisors that meet in a straight line.

    What is the age limit for teeth braces?
    Although any individual with healthy teeth and gums can undergo orthodontic treatment at any age, we must understand that the most suitable age is between 12 years to 14 years.

     

    Oral Pathology

    Oral pathology is a specialty of dentistry that focuses on the diagnosis and treatment of oral diseases, including oral cancer. Pathologists are involved in all areas of disease management including research, diagnosis, examination and treatment.

     

    Dental Implants

    Dental implants are medical devices surgically implanted into the jaw to restore a person's ability to chew or their appearance. They provide support for artificial (fake) teeth, such as crowns, bridges, or dentures.